Röntgenbilder
für das Pferd

Über uns

Röntgen.info hat sich auf das Erstellen von digitalen Röntgenbildern von Zucht-, Sport und Freizeitpferden spezialisiert.

Durch unser  mobiles digitales Röntgensystem haben wir die Möglichkeit, Ihre Pferde in deren gewohnter Umgebung zu untersuchen.

Die Bilder werden vor Ort automatisch entwickelt und Ihnen dann in digitaler Form zur Verfügung gestellt.

Besonders für Pferdezüchter, -Ausbilder und -Händler leistet das Röntgen der Bestandspferde gute Dienste zur Abwägung der Entscheidung über den weiteren Werdegang des betreffenden  Tieres.

Bei folgenden Fragestellungen kann das Röntgen zur richtigen Entscheidungsfindung beitragen:

  • Lohnt es sich in finanzieller Hinsicht, weiter in die Ausbildung zu investieren?
  • Wird es beim Verkauf aufgrund von vorhandenen Röntgenbefunden Komplikationen geben?
  • Hat das Pferd Röntgenbefunde, die eventuell eine frühe tierärztliche Intervention erfordern?
  • Sind Röntgenbefunde vorhanden, die ein spezielles, z.B. besonders rückenschonendes Training erfordern?

Röntgenaufnahme einer Pfote

Röntgenaufnahme einer Pfote

Spezialangebot

Als besonderes Angebot bieten Wir Ihnen aufgrund des stetig steigenden Kostendruckes im Rahmen der kommerziellen Pferdehaltung ab sofort ein sehr konkurrenzfähiges Kombinationsangebot für Pferdezüchter und Pferdeverkäufer an.

Leistungsumfang

  • Professionelle Zahnbehandlung durch IAED geprüften Pferdedentisten inklusive  Sedierung und Extraktion von Wolfszähnen und festsitzenden Zahnkappen (falls vorhanden)
  • Erstellung von Röntgenbildern nach Standardprojektionen des Röntgenleitfadens
  • Impfung und Entwurmung nach Bedarf

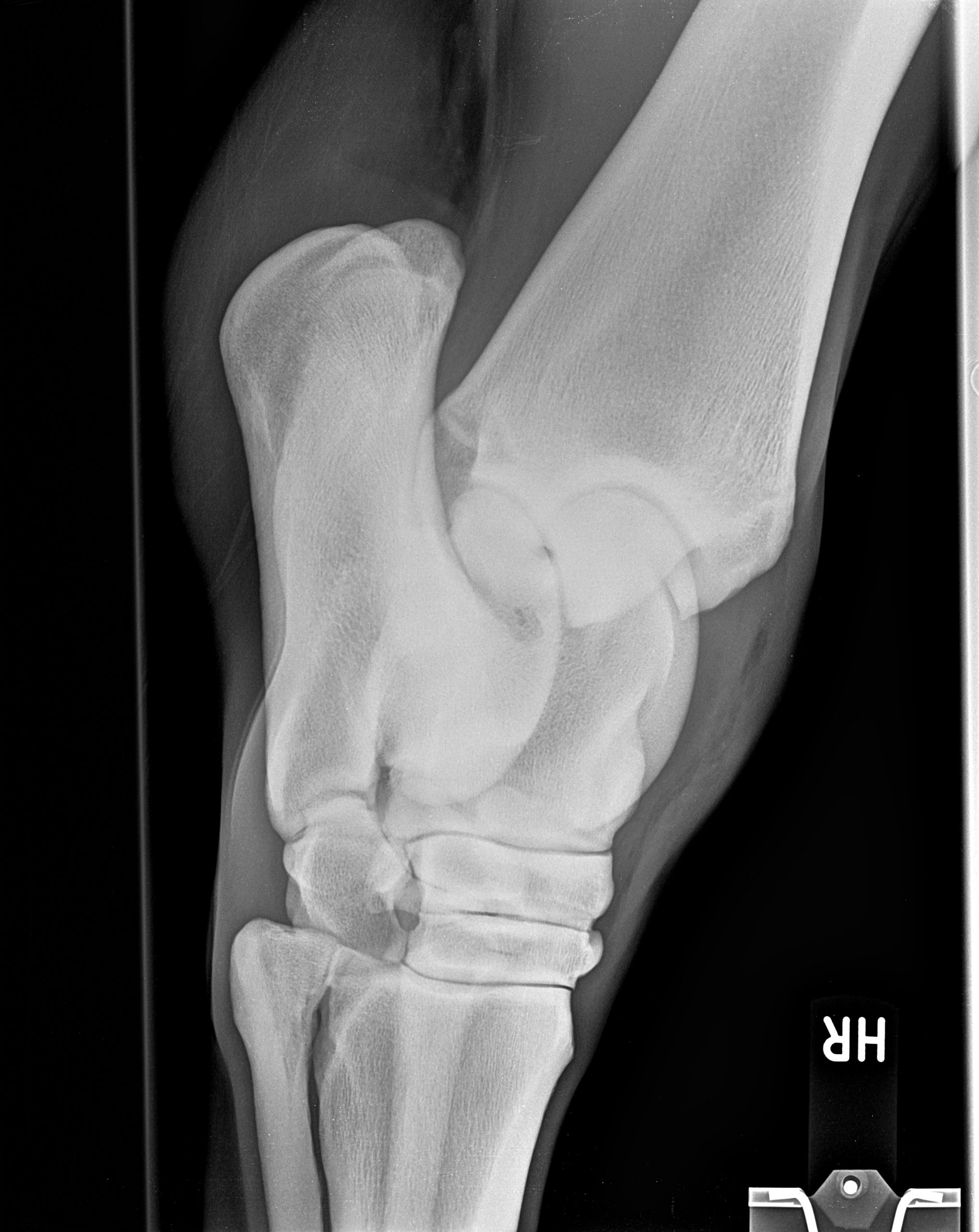
Röntgenbilder

Diese Sammlung zeigt verschiedene Röntgenaufnahmen, die eine Vielzahl von anatomischen Strukturen und potenziellen Gesundheitszuständen veranschaulichen. Jede Aufnahme bietet wertvolle Einblicke in die Gesundheit und das Wohlbefinden Ihrer Pferde.

Befunde

Interaktives Röntgenbild
Röntgenbild

Tippen Sie auf ein Kreis für mehr Infos.

Interaktives Röntgenbild Kopie
Röntgenbild

Tippen Sie auf ein Kreis für mehr Infos.

Erhalten Sie Einblick in die Gesundheit Ihrer Tiere.

Kontakt

Wir beraten Sie gerne unverbindlich. Nutzen Sie hierfür das Kontaktformular, schreiben eine Email oder  rufen Sie uns an.

    Röntgen.
    info